疾病概述
滑膜肉瘤滑膜肉瘤是惡性程度較高的軟組織惡性腫瘤,源於關節、滑膜及腱鞘滑膜組織。發病部位以四肢的大關節為多,也可發生於前臂、大腿,腰背部的肌膜和筋膜上。主要以手術治療為主。
.滑膜肉瘤是發生頻率較高的一種軟組織肉瘤,好發於15-40歲,四肢的大關節附近,特別是膝關節附近好發,另外與關節無關的部位如頭頸部、腹壁、後腹膜也可發生。本病的基本X線表現有三點:軟組織腫塊,局部骨皮質破壞,腫瘤的鈣化和骨化。此病好發於關節附近,呈分葉結節狀,密度增高,邊界清楚的軟組織腫塊。其內可見骨化影,呈條狀或塊狀輪廓清楚的高密度影,部分骨化影中可見骨小梁結構,少數病例為骨化性腫塊。應與骨旁骨肉瘤、骨化性肌炎、骨肉瘤等鑑別。滑膜肉瘤是惡性程度較高的軟組織惡性腫瘤,源於關節、滑膜及腱鞘滑膜組織。發病部位以四肢的大關節為多,也可發生於前臂、大腿,腰背部的肌膜和筋膜上。主要以手術治療為主。
滑膜肉瘤病因
(一)發病原因本病病因不明,可能與遺傳,外傷,其他疾病轉移等因素有關。
(二)發病機制
滑膜肉瘤的發病機制目前還不清楚。
1.大體所見在手,足小的Ⅰ期病變,其包膜完整,易於分離,此瘤雖然起始於滑膜,但並不像腱鞘囊腫一樣,不與關節腔或腱鞘相通,腫瘤切面呈軟肉狀實體,無囊腔,可分泌出黏液,在大肢體的深部滑膜肉瘤,惡性級別高,其包膜不完整,周圍為水腫的,血管豐富的炎性反應組織所包繞,在腫物外行鈍性剝離,常可撕破包膜,腫瘤內為軟的,白色肉樣物質,分泌膠樣液,其軟度大約可用吸引器吸出。
2.組織學形態組織學上一般分為雙相型和單相型,雙相型一般上皮樣細胞和梭型細胞的數量相當,均勻分布,有的上皮樣細胞條索可形成脈管樣的不典型的假腺腔或小的血竇樣裂隙,單相型以上皮細胞為主型,或梭型細胞為主型,在某一些病例中,在雙相型細胞中,可見到瘤組織由未分化的小圓形或卵圓形瘤細胞組成,此型也叫未分化型,惡性度高。
手及足部小滑膜肉瘤的組織片上呈雙相表現,一部分為成群滑膜細胞在淡染的黏液物質中,細胞常呈腺狀,可見有無細胞的裂隙,就像是被縱切開的毛細血管,但其被覆的不是內皮細胞而是腫瘤細胞,此組織中所含的蛋白糖類可以在冷凍切片上用組織化學方法證實,此瘤的另一區是由成纖維細胞所組成,為梭形細胞,偶見分裂象,呈纖維肉瘤狀的人字形排列,細胞與基質占同等比例,在嗜伊紅染的基質中有清楚的纖維,滑膜細胞可以像其他細胞一樣,產生膠原。
病理改變
1.肉眼所見 腫瘤呈結節狀或分葉狀,境界清楚,但無真包膜,一般質地較軟,少數因鈣化或骨化而出現砂礫樣斑點。切面灰白色,魚肉樣,常雜有灰黃色和暗紅色的壞死出血區。2.鏡下所見 組織學上一般分為雙相型和單相型,雙相型一般上皮樣細胞和梭型細胞的數量相當,均勻分布,有的上皮樣細胞條索可形成脈管樣的不典型的假腺腔或小的血竇樣裂隙。單相型以上皮細胞為主型,或梭型細胞為主型。在某一些病例中,在雙相型細胞中,可見到瘤組織由未分化的小圓形或卵圓形瘤細胞組成,此型也叫未分化型。惡性度高。
臨床表現
臨床表現為關節附近的無痛腫塊,患者可能出現關節周圍腫脹或腫塊,腫塊可沿軟組織伸展至整個前臂。在腫塊皮膚表面可能有靜脈怒張。腫塊質地大多為中等,也有較硬和較軟。會出現不同程度疼痛、隱痛或鈍痛,甚至後期呈劇烈疼痛,夜間疼痛顯著。
大體所見在手、足小的Ⅰ期病變,其包膜完整,易於分離,此瘤雖然起始於滑膜,但並不像腱鞘囊腫一樣,不與關節腔或腱鞘相通。腫瘤切面呈軟肉狀實體,無囊腔,可分泌出黏液。在大肢體的深部滑膜肉瘤,惡性級別高,其包膜不完整,周圍為水腫的、血管豐富的炎性反應組織所包繞。在腫物外行鈍性剝離,常可撕破包膜。腫瘤內為軟的、白色肉樣物質,分泌膠樣液,其軟度大約可用吸引器吸出。
組織學上一般分為雙相型和單相型,雙相型一般上皮樣細胞和梭型細胞的數量相當,均勻分布,有的上皮樣細胞條索可形成脈管樣的不典型的假腺腔或小的血竇樣裂隙。單相型以上皮細胞為主型,或梭型細胞為主型。在某一些病例中,在雙相型細胞中,可見到瘤組織由未分化的小圓形或卵圓形瘤細胞組成,此型也叫未分化型。惡性度高。
手及足部小滑膜肉瘤的組織片上呈雙相表現。一部分為成群滑膜細胞在淡染的黏液物質中,細胞常呈腺狀,可見有無細胞的裂隙,就像是被縱切開的毛細血管,但其被覆的不是內皮細胞而是腫瘤細胞。此組織中所含的蛋白糖類可以在冷凍切片上用組織化學方法證實。
診斷
1.多見於成年人,好發於四肢大關節附近。2.腫塊疼痛和壓痛,邊緣欠清,偶可見分葉狀,可有區域性淋巴結或肺轉移。3.X線攝片可見軟組織腫塊,腫瘤內有不規則鈣化,骨質可有破壞,骨膜反應少。4.病理檢查可確診。
鑑別診斷
鑑別診斷主要是病理鑑別。要掌握滑膜肉瘤特徵性形態,雙相分化,即兩型細胞之間有過渡。常需同腺癌、軟組織腺泡樣肉瘤、纖維肉瘤、平滑肌肉瘤、神經鞘瘤相鑑別。
滑膜肉瘤1.肉眼所見 腫瘤呈結節狀或分葉狀,境界清楚,但無真包膜,一般質地較軟,少數因鈣化或骨化而出現砂礫樣斑點。切面灰白色,魚肉樣,常雜有灰黃色和暗紅色的壞死出血區。
2.鏡下所見 組織學上一般分為雙相型和單相型,雙相型一般上皮樣細胞和梭型細胞的數量相當,均勻分布,有的上皮樣細胞條索可形成脈管樣的不典型的假腺腔或小的血竇樣裂隙。單相型以上皮細胞為主型,或梭型細胞為主型。在某一些病例中,在雙相型細胞中,可見到瘤組織由未分化的小圓形或卵圓形瘤細胞組成,此型也叫未分化型。惡性度高。
3.X線攝片可見軟組織腫塊,腫瘤內有不規則鈣化,骨質可有破壞,骨膜反應少。
治療措施
滑膜肉瘤--治療滑膜肉瘤也是惡性程度很高的腫瘤,晚期因有遠處的轉移的情況,所以病情可以表現為輕重不一,但預後相對較差。
藥物對滑膜肉瘤本身無明顯作用,化療藥物僅用於術後輔助治療,術後套用抗生素以防感染是必要的。
輸血及套用人體白蛋白對於體弱病重患者來說,是必要的,不可少的。輔助檢查對滑膜肉瘤之診斷基本檢查已足夠,但如果疑有肺或區域性淋巴結轉移時,可考慮選用特需檢查專案。
坤鶴百草以辯證與辨病相結合施治結合某些抗癌中藥常能收到較好療效.可有效的改善全身症狀,對於有遠處轉移以沒有手術適應症的可以有效治療;提高近期和遠期療效;失去西醫根治機會者,可減少痛苦,提高生命質量,提高遠期生存。
1.手術如果沒有輔助治療或病變對輔助治療沒有反應,則要獲得可靠的局部控制就需要根治性外科切除
當病變對術前放療和(或)術前化療有反應時,則局部切除後局部復發率小於10%。對於位置深在的位於肢體近端和軀幹周圍的較大病變而言即使對輔助治療有滿意的反應,施行邊緣切除後,局部復發率仍然非常高與此相比,那些位於肢體遠端的小而表淺的病變對新輔助療法反應滿意者,局部復發風險較低。
若觸診發現局部淋巴結異常往往提示有轉移的可能應在對原發腫瘤施行手術之前進行淋巴結活檢如果區域淋巴結已有轉移則病變屬Ⅲ期,其預後兇險。
滑膜肉瘤--外科處理影像Ⅱ期肢體近側大滑膜肉瘤需要徹底外科處理廣泛切除或廣泛截肢有較高的復發率,附加其他治療,特別是在術前給予放射治療使高度惡性的滑膜肉瘤行廣泛切除後的復發率明顯降低。至於更為保守的邊緣切除並用附加放療能否有如上述良好結果則尚無報導。附加治療對此腫瘤效果較好,是由於滑膜肉瘤對放療較其他軟組織肉瘤更為敏感
滑膜肉瘤即可向區域淋巴結轉移。也可向遠隔肺部轉移。對於前者做淋巴結腫物放療後行局部切除仍可使疾病控制一定時間,從理論上講行化療對於微小轉移是有效的
2.化療新輔助化療偶爾可產生較好的效果使本應截肢的患者得以施行保肢手術由於此方面數據不足,不能得出可靠的滿意反應率。
術後化療作為局部淋巴結和(或)遠隔部位轉移灶的最終治療方法僅對部分患者有部分反應,但不能對該病變達到即刻或長期的控制
3.放療大部分滑膜肉瘤對新輔助放療有滿意的反應當放療作為最終的或姑息的治療方法時通常可使該病獲得滿意的緩解
檢查方法
實驗室檢查
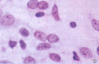
滑膜肉瘤低倍鏡下可見,病變由含細胞豐富的組織構成。通常有兩種獨特的細胞形態,稱為雙相形態。其中之一由產生少量膠原基質的惡性的纖維組織細胞構成,排列成纖細的鯡魚骨狀,與纖維肉瘤非常相似,與這類細胞相間存在的是成團的上皮來源的卵圓形小泡狀細胞,排列成腺泡狀,與癌相似。在這些區域裡,經常可見一些裂縫,其內含有微弱染色的均勻的嗜鹼性物質,這些物質可被黏蛋白染料染色。裂縫內襯有腫瘤細胞,沒有基底膜。
在高倍鏡下,梭形成分由深染的梭形細胞核構成,有絲分裂常見。細胞間可見稀疏的嗜酸性膠原。上皮或滑膜成分由成團的圓形或卵圓形細胞構成,細胞膜不明顯,細胞核大而深染呈小泡狀,有絲分裂常見。這些細胞常排列成小腺泡呈現腺體狀外觀。在有些部位這種排列非常特別,以至於與腺癌中所見的細胞排列形式十分類似。鈣化區呈細小顆粒狀,高度嗜鹼性染色,散布於惡性滑膜細胞之間。裂縫樣空隙內含有黏蛋白,可以被各種黏蛋白染料染色。偶爾,病變主要由梭形細胞構成,僅有少量的滑膜細胞及充滿黏蛋白的“裂縫”(即腺泡狀結構),如果不用特殊染色或電子顯微鏡,這種情況很難與纖維肉瘤相鑑別,常稱這種情況為單相滑膜肉瘤。
其他輔助檢查
1.X線表現約30%的病變中可以見到模糊散在的鈣化,有時可見骨膜反應,甚至侵蝕骨或侵入骨內。開始僅表現為軟組織腫塊,以後腫塊內可出現鈣化。對於病變內有點狀鈣化者應考慮與軟骨瘤或血管瘤相鑑別。2.骨掃描在掃描的晚期,可見病變內礦化活躍區的周圍有局限的攝取量增加(圖5)。由於病變的新生血管豐富,在掃描的早期可見病變區攝取量高於鄰近軟組織。
3.CTCT掃描可見質地均勻的軟組織腫塊,密度與骨骼肌類似。病變內鈣化高度提示滑膜肉瘤。使用造影劑可使病變組織顯著增強。
注射造影劑後腫物邊緣強化。
4.MRI病變常鄰近重要的神經血管束。在MRI圖像上,呈高信號。較大的病變信號強度不均勻,提示有出血和壞死區。
因此這些結構有可能被移位或者被包裹在病變之中。
5.血管造影在早期動脈相可見病變周圍的反應區內有明顯的新生血管。在晚期靜脈相,則可見明顯的染色。由於病變經常鄰近主要的神經血管束,
疾病預防
滑膜肉瘤多見於成年人,好發於四肢各大關節,屬於惡性腫瘤,如發生於關節周圍之腫塊,應考慮滑膜肉瘤之可能。應行CT和同位素掃描檢查,明確範圍和全身狀況,確診以活檢病理報告為準。治療上依據腫瘤部位、範圍決定保肢或截肢手術或放療、化療。
由於本病病因未明,尚無有效預防措施,早發現早診斷早治療是關鍵。
護理方法
家庭護理
1、腫瘤病人家屬應調整好自己的心態
親人患了腫瘤對家屬同樣是一種打擊,全家都會為之擔心,為之痛苦,家庭氣氛也隨之變得緊張起來。由於對腫瘤抱有偏見,多數家屬也會經歷一段緊張、焦慮甚至恐懼的時期。想到今後為了照顧患者會影響自己的學習、工作,為了得到最好的治療而支付較高的開銷,家屬們往往也承受著巨大的精神壓力。所以,這時家屬有必要先對自己的心態加以調整。
應正視現實,振作精神,多一份責任心和義務感,對腫瘤要有一個正確的認識,應相信大多數腫瘤是可以治癒的,要知道自己的情緒和心態會直接影響到病人,所以對於家屬第一個要求便是要在自己親人罹患腫瘤的事實面前,能夠鎮靜自若,控制和調整好自己的心態,或至少應在病人面前做到“內緊外松”。
2、腫瘤病人家屬應給予病人最大的理解、同情、安慰和關懷
病人思想上有什麼痛苦、疑慮、擔憂、畏懼等,最能了解透徹的無疑是他最親近的家屬,家屬往往扮演著病人心理醫生的角色,在病人的精神上所起的作用是不可估量的。所以,家屬應想病人之所想,最大限度地分擔病人的痛苦,讓病人從他們那裡得到更多的溫暖和安全感;對病人做思想工作需要知識和耐心,切不可急燥;對病人提出的一些特殊要求應給予理解和滿足,使病人能在心靈上得到安慰;病人往往對孤獨的生活非常敏感,有一種被拋棄的感覺,這時家屬的關懷和體諒就顯得尤為重要。如果沒有家屬的支持,病人常會感到缺少精神支柱,喪失治療信心。
3、腫瘤病人家屬應與病人的主管醫師和專業護理人員進行必要的交流和溝通
這樣才能了解醫師的治療計畫和安排,協助醫護人員做好有關診療的準備和善後工作;對治療後可能發生的情況和不良反應需有所了解,並對病人進行恰當的解釋,鼓勵病人接受治療;仔細觀察病人病情,及時準確地向醫師反饋治療後的情況,做好醫、患之間的聯繫和溝通,使龐大而長期的治療康復計畫得以順利實施。
4、腫瘤病人家屬應在專業人員的指導下做好病人的家庭護理工作
包括合理安排病人的飲食、起居及康復鍛鍊,努力學習和掌握一定的醫學護理知識和技巧。對住院病人應儘可能多地給予探視和陪伴,代醫院做些服務性工作,如餵飯、攙扶、洗澡等。當病人病危時,不論白天黑夜至少應有一位家屬陪伴在病人身邊,以便照顧。細緻而周全的照顧是必要的,但對處在康復階段的病人還應注意培養他們的主動意識,過分的關心可能會讓病人失去自主感和自尊感,產生依賴心理,影響病人對正常工作及生活的適應能力。
飲食護理
患者宜食的食物:
1、豆芽豆芽中的葉綠素,可以防止直腸癌和其他一些癌症。
2、宜多吃具有抗外陰腫瘤和白斑作用的食物,如芝麻、杏仁、小麥、大麥、土瓜、烏骨雞、烏賊、烏梢蛇、豬胰、菊花、烏梅、桃子、荔枝、馬齒莧、雞血、鰻魚、鮑魚、蟹、鱟、沙丁魚、文蛤、玳瑁。
3、疼痛宜吃鱟、赤、龍蝦、淡菜、海參、虎魚、甜菜、綠豆、蘿蔔、雞血。
4、瘙癢宜吃莧菜、白菜、芥菜、芋艿、海帶、紫菜、雞血、蛇肉、穿山甲。
5、增強體質、預防轉移宜吃銀耳、黑木耳、香菇、猴頭菇、雞肫、海參、薏米、核桃、蟹、石龍子、針魚。
6、外陰腫瘤手術手術後,耗氣傷血,宜多食補氣養血之品,如大棗、龍眼、扁豆、粳米、荔枝、香菇、胡蘿蔔、鵪鶉蛋、藕粉、豆類等。
7、外陰腫瘤手術後的放療:耗陰損液,宜多食滋陰養液之品,如菠菜、小百菜、藕、犁、西瓜、香蕉、葡萄、海參、甘蔗、百合等。
8、外陰腫瘤手術後的化療:易氣血兩損,宜常食補養氣血之物,如木耳、香菇、核桃仁、桑椹、苡米粥、紅棗、桂圓、海參等。
9、香菇鮮香菇90克,用植物油適量、食鹽少許炒過,加水煮成湯食。可預防癌症。
10、平菇平菇適量,煎湯、煮食,或研末服。
11、菱實鮮菱實20-30個,加水適量,小火煎成濃湯,分2-3次服。對胃癌、子宮頸癌有一定療效。
12、烏龍茶常喝烏龍茶有一定防癌作用。
13、蜂乳堅持服食,能增強人體免疫力,具有防癌效果。
14、其他牛奶或羊奶,不僅有豐富的維生素,而且含有某些防癌物質;新鮮蔬菜如蘿蔔、圓白菜、南瓜、豌豆、萵苣等,對於抵消食物中的亞硝胺都有一定作用;胡蘿蔔、菠菜、番茄、紫菜等,都含有豐富的維生素A,皆有一定的防癌作用。
患者食的食物:
(1)忌咖啡等興奮性飲料。
(2)忌蔥、蒜、姜、桂皮等辛辣刺激性食物。
(3)忌煙、酒。
(4)忌肥膩、油煎、霉變、醃製食物。
(5)忌公雞、鵝等發物。
(6)瘙癢嚴重時忌海鮮及刺激、致敏食物。
化療護理
1.注意觀察患者胃腸道反應。抗癌藥物刺激消化道黏膜後,有食欲不振、噁心、嘔吐、腹瀉等副作用,可通過服藥同時服鎮靜藥的方法減少這類反應。如胃腸道反應嚴重,除應注意觀察嘔吐物的顏色、性質和數量外對症處理,可用止吐藥,飲食上給以清淡可口的食物,少吃油膩不易消化的食物。
2.抗癌藥物常引起患者不同程度的口腔潰瘍,這是由於藥物對消化道黏膜的正常增生和更新有抑制作用,使得黏膜變薄易破。如果患者內有殘牙、義齒或吃剩的食物殘存物,很容易戳穿黏膜引起感染,形成口腔黏膜潰瘍。因此,在患者化療期間,要加強口腔衛生宣傳,刷牙要徹底,動作要輕柔,每日早、晚各一次。經常用消毒液漱口,以預防口腔感染。對已經發生口腔炎的患者,可在潰瘍處塗冰硼散類藥物。
3.用藥期間患者應每周檢查一次紅細胞、白細胞、血紅蛋白和血小板,由於化療藥物會抑制造血細胞,所以化療期間出現白細胞和血小板減少很多見。停藥後一般會恢復正常。化療期間患者應常規服用維生素B1、維生素B6、利血生和保肝藥物,以防治白細胞減少和肝損害。
4.觀察原發腫瘤處或身體其他部位有無不明原因的腫脹和包塊,腫脹處有無壓痛,如有異常應立即去醫院就診。
5.對於脫髮,患者不要驚慌,因毛囊上皮生長迅速,對有些抗癌藥物敏感,容易引起頭髮脫落。遇到這種現象家屬應當向患者做好解釋工作,儘管有些患者脫髮較嚴重,但停藥後仍會長出新的頭髮,這樣可以減輕患者的精神壓力。另外,可以給患者多吃瘦肉、雞蛋、魚、新鮮水果等,有助於保護皮膚,減少脫髮。

