發病原因
電鏡方法發病機制:
Oidfors對s-IBM線粒體DNA(mtDNA)的分析研究中發現,約有47%的s-IBM有多發性mtDNA缺失mtDNA的這種改變不能用年齡或繼發於炎症等因素來解釋。DiMauro認為s-IBM出現多發性mtDNA缺失可能由核DNA與mtDNA間的聯繫中斷所致,並認為線粒體的這一改變在肌肉變性和無力的病因方面起著重要作用。
包涵體肌炎與遺傳性包涵體肌病在s-IBM的發病機制研究中,肌核的改變尤其是核基質的改變越來越受到重視。Nonaka提出在伴有鑲邊空泡的肌病中如s-IBM、DMRV眼咽型肌營養不良、SjÖgren綜合徵等往往同時有顯著的肌核改變表明兩者在病理生理機制方面存在某些聯繫,Karpati通過超微結構觀察發現肌核內管狀細絲包涵體核崩解以及由此形成的鑲邊空泡等s-IBM特徵性病理改變均與肌核有關。
Askanas等採用金免疫定位的方法在空泡纖維內發現多種類似於Alzheimer病患者腦內出現的異常蛋白質,這些蛋白質包括β澱粉樣物質,β澱粉樣物質前體蛋白泛蛋白(u-biquitin)、朊蛋白(PrP)、Tau蛋白α-抗凝乳蛋白酶(α-antichymotrypsin)及載脂蛋白E(ApoE)PrP-mRNA和β-APP-mRNA也增加一些mRNA的過度表達和異常蛋白的產生提示肌核DNA有異常。
總之,一旦肌核改變作為s-IBM的起動病因得到證實那么s-IBM的炎症性改變就可能是一種繼發反應。
1、光鏡下s-IBM的主要肌肉病理改變
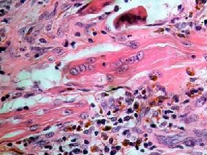
(1)鑲邊空泡(rimmedvacuoles)或襯裡空泡(1inedvacuoles)。這種空泡常位於肌膜下或肌纖維中央呈圓形多角形或不規則形直徑為2~25μmHE或MGT染色可見空泡邊緣有顆粒狀嗜鹼性物質沉積,鑲邊或襯裡空泡即由此而得名。
(2)肌肉膜炎細胞浸潤或單核細胞侵入非壞死纖維
(3)成群的萎縮纖維,平均每低倍視野下可見2群。
肌核(4)嗜酸性包涵體為一圓形包涵體,HE染色著紅色,常位於鑲邊空泡的周圍每張切片一般不超過3個。以上四種病理改變的出現頻率依次為100%、96%、92%和58%前三種的出現率為88%,四種同時出現為46%其他病理改變包括單個肌纖維壞死肌核大而疏鬆肌膜下肌質內嗜鹼性顆粒聚積及剛果紅染色螢光顯微鏡下觀察可發現染成桔黃色的澱粉樣物質。
電鏡下可見鑲邊空泡內充滿大量髓樣物質和顆粒細絲結構s-IBM特徵性的超微病理改變為肌質或肌核內有管狀細絲包涵體(tubular filament containing inclusions)這種包涵體由盤繞的雙股細絲組成細絲外徑10~20nm內徑6~8nm長為1~5μmhttp://www.huoguan.com有時其上可見5nm寬的橫紋。細絲可以呈相互平行或向心性排列,也可以雜亂無序其周邊常包繞糖原顆粒、不規則的髓樣結構膜碎片及其他細胞器分解產物在細胞質內還可以見到一種直徑6~10nm的澱粉樣纖維和絮狀無結構物質聚集電鏡下尋找包涵體並不容易,應先做半薄切片在光鏡下定位至少需選3個空泡纖維經仔細觀察才能發現包涵體。線粒體的改變包括數量增多及嵴內晶體樣包涵體形成。Arahata和Engel套用免疫電鏡研究發現,s-IBM中單核細胞對非壞死纖維的侵入現象常見,被侵入的非壞死纖維胞漿和肌原纖維常常受擠壓而被部分取代嚴重時可導致整個肌纖維破壞。
自1993年Askanas提出遺傳性包涵體肌病(h-IBM)這一名稱後,有關h-IBMs-IBM和遠端型肌病之間的關係引起了廣泛興趣.由於這三類肌病的共同病理特徵是肌纖維內鑲邊空泡形成。因此在疾病概念和臨床病理診斷上一直存在很多爭論。
染色體2、1997年地中海肌學協會主辦了h-IBM專題研討會會議討論結果一致認為h-IBM應包括三個片面的含義。
(1)肌活檢病理髮現有鑲邊空泡和肌核內包涵體形成與s-IBM相似。
(2)肌活檢病理無炎症細胞浸潤此點可資與s-IBM鑑別。
(3)有家族遺傳特徵,為常染色體顯性或隱性遺傳方式。
發生在波斯(伊朗)猶太人中的鑲邊空泡肌病(rimmedvacuolemyopathy)是經典的h-IBM根據這一定義,h-IBM還應包括一些遠端型肌病,如日本報告的伴鑲邊空泡的遠端型肌病(distalmyopathywithrimmedvacuole,DMRV)、瑞典報告的Welander型遠端肌病和芬蘭報告的芬蘭型(Finnishtype)遠端肌病或脛骨前肌肌營養不良(ahteriortibialmusculardystrophy)。
s-IBM和h-IBM的肌肉病理改變除了後者無炎症細胞浸潤外,在包涵體細胞化學特性方面也存在不同等研究發現能與磷酸化神經絲特異性結合的SMI-31單克隆抗體可同時標記s-IBM和h-IBM的包涵體細絲(PHF),而另一種單克隆抗體SMI-31僅能與s-IBM的包涵體細絲結合,而與h-IBM幾乎不結合。
此外s-IBM的肌活檢標本經剛果紅染色通過螢光顯微鏡下觀察可發現染成橘黃色的澱粉樣物質,而在h-IBM卻很少發現剛果紅染色陽性的澱粉樣物質。這些細胞化學方面的不同特點可資對s-IBM和h-IBM進行鑑別。
常見症狀
臨床表現:
包涵體肌炎(s-IBM)起病隱匿,緩慢進展,70%的患者首發症狀為下肢近端無力,也可以下肢遠端、上肢或四肢均勻無力起病。肌無力可對稱或不對稱,隨著病情進展,遠端肌無力可達50%但僅有35%其遠端無力的程度達到或超過近端無力部分病人的肌無力和肌萎縮可局限於某些肌群,如胸鎖乳突肌、上肢肌群下肢股四頭肌等。最易受累的肌肉是肱二頭肌、肱三頭肌、髂腰肌、股四頭肌和脛骨肌群指腕伸肌早期容易受累而三角肌、胸大肌、骨間肌、頸屈肌腓腸肌及趾屈肌受累較輕。約20%的患者頸部肌群受累,1/3的患者可有面肌受累以眼輪匝肌為主。吞咽困難較常見約30%的患者就診時已出現吞咽困難後者多由食管上段和環咽部肌肉功能障礙所致。
腱反射常減低,尤以膝踝反射減退最為常見。當合併周圍神經病變時可有感覺障礙20%的患者有肌肉疼痛。若同時有吞咽困難,臨床與多發性肌炎很難區別。
併發症:
無特殊記錄四肢肌無力長期臥床及吞咽困難,可導致褥瘡及肺部感染。
診斷:
包單核細胞1、包涵體肌炎診斷參考指標Mendel等1995年總結了近來的研究成果,提出了包涵體肌炎如下的診斷參考指標:
(1)臨床表現:病程>6個月;起病年齡>30歲;少數患者有家族史肌無力必須累及上肢和下肢的近端和遠端患者至少有下述表現之一:①屈指無力;②屈腕無力較伸腕無力明顯;③股四頭肌無力(≤4級)。
(2)實驗室特徵:
①血清CK不超過正常值的12倍。
②肌活檢:
A、炎症性肌病伴單核細胞對非壞死纖維的侵入。
B、空泡纖維。
C、下述二者之一:肌細胞內澱粉樣物質沉積(需用剛果紅染色螢光顯微鏡下觀察);電鏡下發現15~18nm的管狀細絲包涵體。
③EMG符合炎症性肌病的特點(但常見長時限電位)。
2、包涵體肌炎診斷標準依據以上診斷參考指標s-IBM的診斷標準如下:
(1)確診的IBM:患者表現所有肌活檢病理特徵。s-IBM經肌活檢病理確診任何臨床表現和其他實驗室檢查均不能將其否定。
(2)疑似IBM(probable-IBM):如果患者僅具備了s-IBM炎症性病理改變的診斷標準,即有單核細胞對非壞死纖維的侵入,加之符合上述診斷參考指標中病程>6個月;實驗室特徵符合AC項,則為疑似IBM。
疾病檢查
實驗室檢查:
血清肌酶檢查s-IBM的血清CK水平可正常或輕度增加一般不超過正常值的10~12倍。
其它輔助檢查:
肌電圖檢查s-IBM的EMG特點與PM-DM相似,表現為異常自發性活動增多短時程運動單位電位和多相波增多。所不同的是s-IBM長時程和短時程運動單位可在同一塊肌肉同時出現後者被稱為混合電位(mixedelectricpotentials)。
治療方法
靜脈注射靜脈注射免疫球蛋白(IVIG)可使部分s-IBM患者肌無力和吞咽功能改善生活能力提高,但改善的程度有限。
對症處理加強臨床醫療護理,是改善患者生存質量的重要內容。
