流行病學
染色體病因:
肝內膽管囊狀擴張症的確切病因尚不十分清楚,多數學者認為,Caroli病是一種染色體隱性遺傳所致的先天性疾病,可能是膽管先天性結構薄弱或交感神經缺如所引起。
發病機制:
Caroli指出其特點為:①肝臟匯管區有較多小膽管增生,膽管
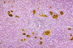
圖1 先天性肝內膽管囊狀擴張症腔常擴張,伴有纖維組織增生;②匯管區的門靜脈小分支仍明顯可見,匯管區之間常有纖維條索相連;③肝小葉結構基本正常。Mereadie指出先天性肝內膽管囊狀擴張症的典型病變常見於匯管區,即僅侵犯肝葉段內的膽管,擴張的膽管及其近端引流的膽管纖維組織浸潤,膽管壁增厚,內含多條擴張的毛細膽管,膽管上皮可呈乳頭瘤樣增生。大體標本可見肝內膽管單個或多個圓形或卵圓形膨大,大小約2~10cm,擴張的膽管走行迂曲,呈“蛇遊動形”,近肝門部膽管因分支多,還可呈“叢狀”或“樹枝狀”,明顯的肝內膽管擴張,切面見有大小不等的囊泡,易於與多囊肝混淆,但腔內瀦留的是膽汁而不是液體,顯微鏡下可見上皮細胞受壓而變得扁平,而多囊肝囊壁則無上皮。擴大的膽管周圍肝實質顏色正常,無萎縮。組織學檢查見擴張膽管的周圍有豐富的神經束,有的呈腺瘤樣增生,肝小葉結構存在。
曾有學者對先天性膽總管囊腫、先天性肝內膽管囊狀擴張症和先天性肝臟纖維化進行過相關性研究,發現三者在病理髮生學上有一定聯繫,可能是同一疾病譜在不同部位的表現即膽總管囊腫累及肝外膽管;Caroli病累及肝內較大膽管;先天性肝臟纖維化累及肝內微小膽管,三者可獨立或同時存在。此外文獻報導Caroli病有2.5%~15.0%的癌變率
1.Caroli分型 Caroli於1968年及1973年把它分為Ⅰ型和Ⅱ型,Ⅰ型又稱單純型,多伴有肝內膽管結石,臨床表現為反覆發生膽道感染;Ⅱ型又稱匯管區周圍纖維化型,此型多數同時伴先天性肝纖維化以肝脾腫大,門脈高壓上消化道出血為特點,Caroli報導Ⅰ型少見而在中國Caroli病以Ⅰ型多見可能與中國先天性肝纖維化病少見有關。
2.Flanigan分型 Flanigan在分析955例先天性膽總管囊狀擴張的基礎上將該病分為Ⅳ型。其中Ⅳ型是膽總管囊腫合併肝內膽管囊腫隨後又將單純肝內膽管擴張作為Flanigan分類的Ⅴ型。因此Caroli病通常包括FlaniganⅣⅤ型的患者。
臨床表現
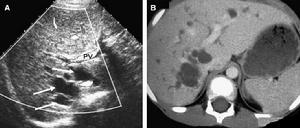
先天性肝內膽管囊狀擴張症CT圖黃志強從外科治療角度出發,根據Caroli病的CT結果,將囊腫在肝內的分布與有關病理改變分成以下臨床類型:
Ⅰ型:單純型或局限型,常呈肝葉性分布,不伴肝纖維化。其中再分兩個亞型,周圍型(Ⅰa),囊腫群在肝的周圍,一葉或一側。中央型(Ⅰb),囊腫群在肝中央部,與肝門處主要肝管相通。
Ⅱ型:瀰漫型,常伴有肝纖維化。
Ⅲ型:瀰漫型伴節段性分布的肝內囊腫群。
Ⅳ型:合併膽總管囊狀擴張。
併發症:
1.並髮結石 Caroli病可以合併肝內膽管結石或囊腫內結石,系膽汁淤積膽管感染引起。
2.膽管癌 文獻Caroli病的膽管癌發生率為7%~15%。癌變率是正常人群的100倍。其容易癌變的機制:膽石的機械刺激使膽管黏膜發生變化,膽道記憶體在膽蒽甲基膽蒽等致癌物質;Caroli是先天性畸形所致在此基礎上即使無膽汁淤滯也易發生細胞畸變而形成癌腫。
3.膽管炎。
4.肝膿腫。
5.60%~80%的病伴有海綿腎,Watts等認為同時合併海綿腎是診斷此病的有力佐證。
診斷
膽管結構圖術前未能確診者需注意術中仔細探查Mercadire曾描述過“Caroli征”,即術中用手指按壓含有可疑病變的肝葉膽管囊狀擴張的局部有囊性感覺並持續下陷一段時間。術中膽道造影對明確診斷亦有幫助。
鑑別診斷:
1.與原發性肝內膽管結石繼發的肝內膽管擴張的鑑別。
(1)Caroli病患者的年齡較繼發性肝內膽管擴張者輕而且後者往往長期反覆發作膽管炎合併有結石或狹窄致膽道梗阻而逐漸發生。
(2)膽管憩室樣擴張或多個部位的膽管擴張其形態相同或相似,多為先天性擴張。
(3)繼發性肝內膽管擴張其下端必定有結石或膽管狹窄,而先天性膽管擴張者只有部分伴有膽管結石或狹窄。
(4)先天性膽管擴張者其膽管壁上黏膜少而管壁較薄,繼發性膽管擴張則管壁較厚。
(5)伴有先天性肝纖維化的必定為先天性膽管擴張。
2.多發性肝內囊腫 單純性多發性肝內囊腫與膽道不相通,PTC或99m TcHIDA造影可明確診斷。
檢查
膽汁病理圖2.CT檢查 Caroli病的檢查特徵為注射造影劑後加強掃描可發現囊狀擴張的中央點狀影,稱為“中央斑點征”,這相當於擴張膽管內有門靜脈小分支生成形成橋狀。CT尚可發現肝門處的膽管相對狹窄,利於術前評估和選擇手術方式。Seth等認為,“中央斑點征”足以提供準確的診斷而不藉助於損傷性或昂貴的檢查。
3.99mTc核素掃描 排泄性肝膽造影可明確囊腫與膽管相通,而區別於單純性肝內囊腫。99mTc肝掃描,Caroli病人肝內99mTc停留時間超過120min,而多發性肝囊腫病人則很快消除,顯示出正常肝掃描圖像。
4.經皮肝穿刺膽管造影(PTC)、經內鏡逆行胰膽管造影(ERCP)檢查 PTC、ERCP雖然能夠清晰顯示肝內膽管擴張的大小、數目等,但是它們屬於侵入性檢查,可導致嚴重的併發症,誘發膽道感染。特別是ERCP原則上應禁忌,對於PTC檢查在一部分患者中可慎重的使用,以明確囊腫群與肝內膽管的聯繫而計畫手術切除方案,造影前後需用抗菌藥物預防感染。
5.磁共振胰膽管造影(MRCP) 根據重T2權重序列的靜態水,包括膽管和胰管內分泌物表現為高信號,流動性血液因為流空效應而無信號,因而MRCP不需要造影劑就可獲得良好的對比可顯示肝內膽管擴張的程度、部位以及有無結石存在等。文獻報導MRCP對膽管擴張或狹窄的敏感性為90%~95%,對正常肝外膽管的顯示率近100%,且因為無造影劑的影響,因而較ERCP能更直接客觀的反映生理狀態下的膽胰管擴張程度Asselah等認為MRCP是一種非損傷性造影,也許會成為診斷Caroli病的首選方法。
治療
對Caroli病的最佳治療方案仍有爭論所有的Caroli病並非均需要或能有效地實行手術治療,對無膽管梗阻或無膽管炎症狀的患者,可暫不做治療,隨訪觀察,手術目的應以治療併發症為主,根治性手術一般只能用於局限的病變。
預後:由於先天性肝內膽管囊狀擴張症確診較晚,長期預後較差,故學者認為Caroli病是一種惡性前期的疾病狀態。
預防:以預防和治療膽管炎為主要方法,長期套用廣譜抗生素。
