郎格細胞組織細胞增生症症狀體徵
郎格細胞組織細胞增生症(一)勒—雪病
1、發病年齡多在1歲以內發病,起病急,病情重,病變廣泛,可侵犯全身多個系統器官。
2、發熱熱型不規則,高預熱中毒症狀不一致。
3、皮疹出現較早,多分布於軀幹、頭皮髮際部,四肢較少,為紅色或棕黃色斑丘疹,繼而呈出血性,亦可呈濕疹樣、脂溢性皮疹,以後結痂,脫痂後留有白斑或色素沉著。各期皮疹可同時存在,常成批發生。
4、肝脾和淋巴結腫大肝、脾中、重度大,脾大較為明顯,肝功能異常和黃疸,多有淋巴結腫大。
5、呼吸道症狀常有咳嗽、氣促、青紫、但肺部體徵不明顯可合併肥大泡沫或者自發性氣胸等。可有喘憋症狀,甚至導致呼吸衰竭而死亡。
6、其他有貧血、中耳炎、腹瀉和營養不良等。
(二) 韓—薛—柯病
1、發病年齡多見於2—4歲,5歲後減少。起病緩慢,骨和軟組織器官均可損害。
2、骨質缺損最早、最常見為顱骨缺損,病變開始為頭皮組織表面隆起,硬而有輕壓痛。病變蝕穿顱骨外板後腫物變軟,觸之有波動感,缺損邊緣銳利、分解清楚;此後腫物漸被吸收,局部凹陷,除顱骨外,可見下頜骨破壞,牙齒鬆動,脫落、齒槽膿腫等、骨盆、脊椎、肋骨、肩胛骨和乳突等異常受累。
3、突眼於眶骨破壞而表示為眼球凸出和眼瞼下垂,多為單側。
4、尿崩垂體和下丘腦組織受浸潤所致,個別患兒可見蝶鞍破壞。
5、其他有孤立、稀疏的黃色就診,呈黃色瘤狀,久病者可導致發育遲緩。
(三)骨嗜酸細胞肉芽腫
1、發病年齡於各年齡組,多於4—7歲發病。
2、骨骼破壞本型的主要表現多為單發病灶,常無軟組織和器官的損害,病變局部腫脹而微痛,無紅熱、有時可見病理性骨折,任何均可受累,但以扁平骨較多見,顱骨最常見、其他有下頜骨、四肢骨、骨盆故和脊椎等,主椎骨受累可出現脊髓壓迫症狀。
3、其他多發病灶者可伴有發熱、厭食、體重減輕等,偶有肺嗜酸細胞肉芽腫。
(四)混合型
多於1—2起病,其臨床表現相當於肋—雪氏病和韓—薛—柯氏聯合表現,主要為發熱、貧血、耳溢膿、肺部浸潤、肝脾腫大等。重者除有SL的典型皮疹和肺部改變外,同時又具有HSC的尿崩、突眼和質缺損,輕者可無皮疹或皮疹不典型,但多有骨骼破壞
(五)單一器官損害型
各年齡組都有報導,可單獨發生於肺、肝、脾、淋巴結、皮膚等器官,而不伴其他器官損害。臨床表現取決於所社受累及的器官和損害的程度。
病理生理
郎格細胞組織細胞增生症診斷檢查
輔助檢查
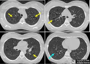
郎格細胞組織細胞增生症2、X線檢查:對診斷很有幫助,不少病例系由X線檢查最先發現。(1)胸部:肺部是最易受累的器官之一。典型改變為肺野透亮度減低呈毛玻璃狀,兩肺彌散的網狀或網點狀陰影,或在網點狀基礎上有局限或彌散的顆粒陰影,須與粟粒性結核鑑別。嚴重者可見彌散性小囊腫、肺氣腫、氣胸、縱隔氣腫或皮下氣腫等,嬰幼兒常見胸腺腫大。(2)骨骼:病變部位呈蟲蝕樣改變至巨大缺損,為溶骨性鑿穿樣損害,形狀不規則,呈圓或橢圓形。脊椎多表現為錐體破壞偶見椎旁膿腫。下頜骨浸潤時牙槽硬板及支持骨破壞,出現漂浮齒徵象。
3、病理檢查:皮疹壓片和病灶活檢發現LC是確診的重要依據,皮疹壓片法檢查操作簡便,病人痛痛苦小,陽性率高。可作皮疹、淋巴結、齒齦和腫物的活檢或病灶局部穿刺物或刮出物的病理檢查。有條件時應作電鏡檢查,病理切片發現CD3/S—100、CD1a、CD40/CD40和趨化因子CCR6及其配體CCL20/MIP3α表達增加。
4、其他:α—D甘露糖酶試驗陽性,花生凝集素結合試驗陽性。
診斷
凡原因不明的發熱、皮疹、貧血、耳溢膿,反覆肺部感染、肝、脾、淋巴結腫大,眼球凸出、尿崩、顱骨缺損,頭部腫物等均應疑及本病。診斷需臨床、X線和病理三方面結合。病理檢查是本病診斷最可靠的依據,尤其是電鏡下找到Birbeck顆粒的LC,結合臨床即可確診。1987年國家組織細胞協會協作組訂出了病理診斷標準如下:
1、初診:壓片、皮膚活檢、淋巴結、腫物穿刺或手術標本發現組織細胞浸潤。
2、診斷:初診的基礎上,且具下述4項指標的2項或2項以上:①ATP酶陽性;②CD31/100陽性表達,③α—D趕路糖酶陽性,④花生疑集素結合試驗陽性。
3、確診:電鏡在病變細胞內發現Birbeck顆粒和/或CDIa抗原陽性。1987年Lavin和Osband根據影響預後的三大因素,即發病年齡、受累器官數目及有無功能損害將本病分為4級,對指導治療、判斷預後有較大的意義。 本病預計後面與發病年齡、受累器官多少、器官功能損害及出期治療反應有關。年齡愈小、受累器官愈多預後愈差,年齡>5歲,單純骨損害者多可自愈,肺、肝、脾、骨髓等受侵犯且對初期治療反應差者預後差,皮膚、骨骼受侵犯時預後較好,痊癒病兒中少數可有尿崩、智力低下、發育遲緩、頜骨發育不良等後遺症。
治療方案
郎格細胞組織細胞增生症1、藥物治療:近年來,由於化學藥物等綜合治療措施進展,本病,尤其是重症患者的預後大為改觀,由於本病不是惡性細胞浸潤,目前多不主張強化療方案,以避免嚴重的毒副反應。(1)化學治療:常用的藥物有潑尼松、長春新鹼、足葉乙甙(VP—16)、環磷醯胺等。Up方案:潑尼松,每日40—60mg/m2,分次口服,長春新鹼每次1.5—2mg/m2,每周靜脈注射1次,一般用8—10周。VP方案可使多數Ⅰ級或Ⅱ級患者獲得緩解。VCP方案為上述方案加環磷醯胺(CTX):VP同上,CTX每日200mg/m2,靜脈滴注,每周1次,共6—8周。此後可用6—MP和MTX無維持,或定期用原方案。總療程根據病情而定,輕者半年、重者可長達2年,近年來主張採用足葉乙甙150mg/m2靜脈滴注,或300mg/m2,口服,連用3天,每3—4周為1療程,共用6個月,該要對其他化療藥物耐藥者效果明顯。(2)免疫治療:病情嚴重的Ⅲ—Ⅳ級病兒童,在化療的同時,可加用胸腺肽1—2mg/次,肌肉注射,隔日1次,亦可試用α—感染素和環孢菌素A,對於減少化療的毒副作反應,改善免疫功能有一定作用。(3)其他:對於單純骨損害者,可試用吲哚美辛(indomethacin),每日1—2.5mg/kg,平均療程6周,有一定的療效。尿崩症可用鞣酸加壓素或去氨加壓素(DDAVP)治療。
2、放射治療:小劑量(4—6Gy)局部照射可控制局限性損害,也適於病變廣泛或病變部位不能手術者。
3、手術治療:局部EGB可手術刮除。<5歲者可採用手術加化療,或單用化療。
4、其他:控制感染,加強支持治療。

