CT骨象概述
骨肉瘤發病率在原發性惡性腫瘤中占據首位。該瘤惡性程度甚高,予後極差,可於數月內出現肺部轉移,截肢後3~5年存活率僅為5~20%。發生在股骨下端及脛骨上端的約占所有骨肉瘤的四分之三,其它處如肱骨、股骨上端、腓骨、脊椎、髂骨等亦可發生。多數為溶骨性,也有少數為成骨性,發病年齡:可發生在任何年齡,但大多在10~25歲,男性較多。腫瘤多處於骨端,偶發生於骨幹或骨骺。
流行病學
骨肉瘤常見於兒童或成年人的長骨,沒有顯示種族或性別的傾向。雖然診斷年齡可有差別,但原發性眼眶骨肉瘤一般發生在30歲而那些由長骨發生者臨床上多發於11~20歲。在某臨床報告764例中有4例原發性眼眶骨肉瘤,同從蝶骨、額、篩和上頜竇以及從鼻腔和顱底發生的腫瘤有相同的發生率。
病理改變
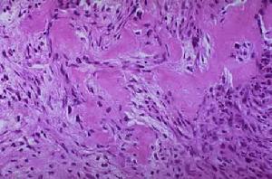
瘤細胞病理診斷的難易程度差別很大。如標本內含大量肉瘤樣基質,則腫瘤骨和骨樣組織不難明確區分,但有些切片內看不到腫瘤骨樣組織,只有膠原條索,包以腫瘤細胞。腫瘤生長不太旺盛的區域只有細胞的間質。有的腫瘤主要是新生的軟骨和不典型的棱形細胞。
眼眶骨肉瘤的病理可分為四型:第一型主要是骨樣組織;第二型骨樣組織和骨組織並存;第三型沒有骨樣組織和骨組織,只有膠原纖維;第四型很少見,其主要成分為軟骨細胞和形態不一、分化不良的腫瘤細胞。病理所見和臨床聯繫考慮是有價值的。單憑病理所見不能估計腫瘤生長的速度、轉移的途徑和患兒生存的時間。細胞核分裂情況是衡量腫瘤生長快慢的標誌,但對估計預後的作用不大
病因
其病因未明。視網膜母細胞瘤患者放療後有發生眶周骨軟骨肉瘤的傾向,提示其發生與放射性照射有關。
發病機制
骨源性肉瘤可能來源於有骨分化能力的間質細胞,在骨Paget病和骨纖維異常增殖症時有較多機會發生骨肉瘤。
臨床表現
眼眶骨肉瘤併發症:
在罕見的情況下,骨肉瘤患者伴發慢性骨疾病,例如Paget病或骨纖維異常增生症。
診斷
病程發展快提示眼眶惡性病變X線平片顯示明顯的骨破壞或骨化斑,輪廓不清。CT掃描對眼眶骨肉瘤的診斷價值較大,既可以顯示骨改變,又可顯示病變侵犯範圍及軟組織繼發改變。CT多具備溶骨性改變和腫塊共同存在的特徵。B型超聲檢查內回聲不均勻,形狀不規則,可伴有聲影。CDI顯示病變內有彩色血流。
鑑別診斷:
與軟骨肉瘤的(chondrosarcoma)鑑別是該病多由鼻竇擴展到眼眶,早期多表現為鼻部症狀以後才會出現眼球突出、移位,影像學檢查病變多累及鼻竇,組織學檢查可以明確鑑別。
檢查
超生顯像病理學檢查:大體標本呈棕紅色,無色膜,質地較軟,其中可有骨纖維樣結構。病變常常沒有包膜且相當堅固,這取決於已形成新生骨質的數量。顯微鏡下可見有染色過深的核和無數有絲分裂圖形的惡性紡錘形細胞骨樣和新生骨形成明顯。在許多病例,腫瘤基質含有軟骨和纖維瘤樣成分及無數血管,薄壁的竇狀間隙在其腔內可含有細胞。骨源性肉瘤可能來源於有骨分化能力的間質細胞在骨Paget病和骨纖維異常增殖症有較多機會發生骨肉瘤,其原因未明。
病理上骨肉瘤主要成分為瘤性的成骨細胞瘤性的骨樣組織和腫瘤骨。部分腫瘤可見瘤性軟骨組織和纖維肉瘤樣結構。成骨型骨肉瘤成骨顯著,質硬如象牙。溶骨型骨肉瘤質地軟,易出血。介於兩型之間的為混合型骨肉瘤。
其它輔助檢查:
1.X線檢查 眼眶成骨型骨肉瘤表現為眶骨的局限性骨質硬化,硬化區密度不均,同時伴有骨質破壞,其內可見斑片狀瘤骨,正常的骨小梁結構消失骨皮質殘缺不全,病變邊緣較清楚,病變周圍形成軟組織腫塊,其內亦可見象牙質樣、棉絮樣腫瘤骨,針狀瘤骨少見溶骨型骨肉瘤眶骨顯示不規則的溶骨性破壞,瘤骨少,密度低,破壞區與正常骨無清楚界限骨皮質無明顯膨脹變形骨膜反應少見。混合型骨肉瘤兼有成骨型及溶骨型骨肉瘤的X線改變。
2.CT掃描 長骨肉瘤一般X線片即可明確診斷,而眶骨骨肉瘤缺少特徵性典型的瘤骨及骨膜反應很少出現,與眶骨的其他腫瘤難以鑑別病變早期X線可疑骨質破壞難以確定時,CT 薄層掃描可明確有無骨質破壞,明確周圍軟組織浸潤的範圍。骨肉瘤典型的表現為眶骨局部的骨質破壞,骨結構消失,其內可有片狀高密度瘤骨,軟組織腫塊顯示清楚。腫瘤可向顱內侵犯壓迫額葉腦組織向眶內生長壓迫侵犯眼球,鄰近的眼外肌受累常顯示不清;向下侵及上頜竇甚至上齒槽骨。
3.MRI 眼眶骨屬不規則骨,發生於眶骨的骨肉瘤缺少長骨的典型表現。一般表現為局部眶骨變形,正常的骨信號消失,依據腫瘤病理類型的不同,MRI信號各異。T1加權像呈不均勻性低信號,T2加權像呈不均勻性高信號。腫瘤邊緣不規則,與正常骨界限不清,表明腫瘤呈浸潤性生長。
治療
化療後細胞的反映一般治療:
1. 休息與飲食
患者應注意增強體質,固護腎氣,防邪外侵,儘量避免接觸放射線及有毒害的化學製劑。
2. 精神心理療法
骨肉瘤患者常見有四種精神狀態,即焦慮、恐懼、孤獨和憂鬱。疼痛發展為持續性劇痛時,可並發食欲不振、失眠,加重精神痛苦,形成心因性疼痛的惡性循環,即疼痛→失眠或抑鬱→疼痛。因此,應重視治療精神痛苦,用各種方法讓患者心情舒暢,不限制家屬與患者的會面時間,到患者臨終時,也要讓家屬不離開患者的床邊。
過去對骨肉瘤的治療主要採用高位截肢手術,過去單純手術治療的5 年生存率僅有5% -20% 。自70 年代開始結合套用術前及術後化療以來,尤其在Jaffe 提出套用大劑量氨甲碟嶺和四氫葉酸鈣解救療法治療骨肉瘤後,生存率得以不斷提高。當今骨肉瘤的治療強調化療與手術相結合,腫瘤切除與功能重建相結合的綜合治療。
預後
預後不良,即使手術後繼續放療和化療,復發機會仍然很大,患者在1~2年內死亡。
