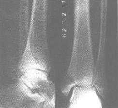
踝關節損傷創傷機制
距骨外側撞擊外踝,引起脛腓聯合韌帶撕裂和腓骨遠端骨折,還可能發生脛骨後踝骨折,導致踝關節不穩和脫位。臨床表現
踝關節活動受限,腫脹,壓痛明顯。影像學表現
(l)腓骨外踝斜行骨折,遠折端向後移位,骨折向前成角,此種徵象是踝關節外鏇損傷的特徵。以側位片顯示為好。
(2)脛骨內踝骨折,骨折線多為橫行,骨折塊向腓側移位。
(3)脛骨後踝骨折。
操作和護理
1、對於局部出現大塊青紫斑者,不宜立刻施用手法和熱敷,應先行冷敷,在24小時後才能進行手法治療;2、治療手法宜輕柔;
3、患部適當固定,防止足部保持背曲內翻姿勢;
4、局部保暖;
5、休息時踝部放置要高於臀位,利於腫脹消退。
護理要點
1、通常扭傷後24小時內,局部可用涼水或酒精冷敷,以促進止血,減少血腫的形成和疼痛。24~48小時之後,才可進行熱敷,以改善血液循環。2、扭傷踝關節後,不要過早下地及持重,避免妨礙其功能的康復。一般要待7~10天扭傷基本好轉後,才可逐漸開始步行。睡眠時,患腳可用枕頭墊高,以減少腫脹。
3、行走時要注意路面的高低,光線不好時更應小心,下坡下樓時,腳的跖屈角度不要過大,防止發生扭傷。

